Opciones de Estilo
Opciones de Encabezado
Oscuro Claro

Cerrar
1
WhatsApp
WhatsApp

Limpieza Dental Profesional

Recupera el brillo natural de tu sonrisa y protege tu salud bucal con nuestra higiene dental profunda. Un servicio cálido, moderno y 100% profesional.

¿Qué Incluye el Tratamiento?

Eliminación de sarro

Eliminación de Sarro

Eliminamos el sarro acumulado utilizando herramientas ultrasónicas y manuales, asegurando la limpieza de los espacios entre los dientes y las encías.

Pulido Dental

Pulido Dental

Después de eliminar el sarro, realizamos un pulido dental que deja la superficie de tus dientes suave y brillante, ayudando a prevenir la placa bacteriana.

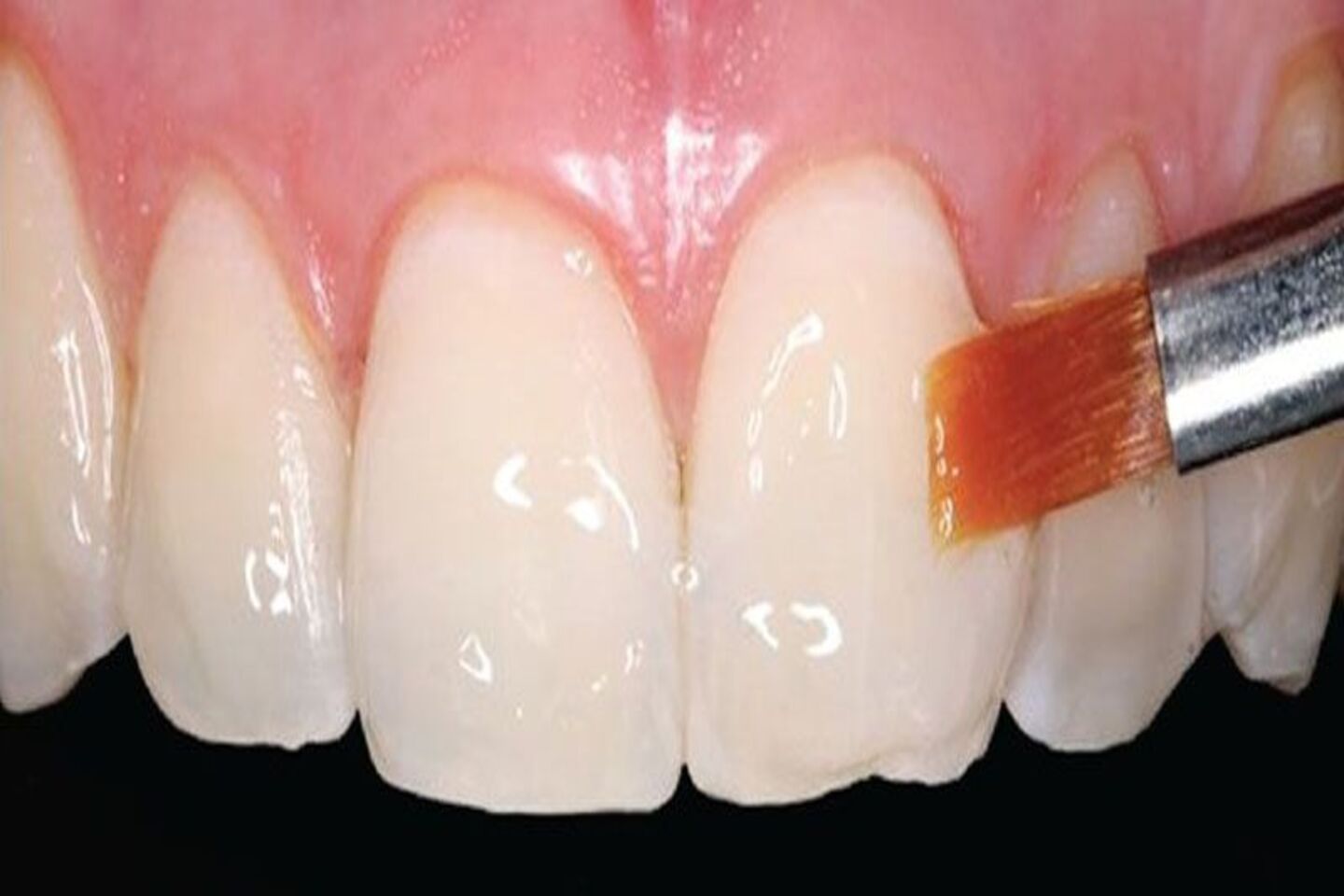
Aplicación de Flúor

Aplicación de Flúor

Aplicamos flúor para fortalecer el esmalte dental, protegiendo tus dientes a largo plazo contra las caries y minimizando la sensibilidad dental.

Revisión Integral

Valoración Integral

Durante la limpieza, realizamos una revisión exhaustiva de tus dientes y encías para detectar a tiempo posibles problemas como gingivitis o periodontitis.

Beneficios de una Limpieza Regular

Mantener una salud oral óptima es el primer paso para proteger tu bienestar general y el de tu sonrisa.

Previene Enfermedades

Reduce drásticamente el riesgo de desarrollar caries, gingivitis y otras enfermedades periodontales de forma temprana.

Sonrisa Radiante

Eliminamos manchas superficiales y cálculos (sarro), regresando a tus dientes su brillo y textura natural al instante.

Aliento Fresco

Combatimos y eliminamos las bacterias acumuladas para asegurar un aliento súper fresco y una profunda sensación de limpieza.